Tomograf, panorama, zdjęcie cefalometryczne, rentgen zębów
Tarnowskie Góry
Nasze nowoczesne aparaty umożliwiają wykonanie pełnej, kompleksowej diagnostyki rentgenowskiej.
Możemy zaproponować Państwu wykonanie wszystkich możliwych zdjęć RTG stomatologicznych, a także laryngologicznych.
Innowacyjna technologia Low Dose Technology™ (LDT ) w tomografie KaVo OP 3D Pro zapewnia optymalną jakość skanów 3D przy najniższej możliwej dawce promieniowania. Zmniejszenie dawki
jest szczególnie istotne w przypadkach wrażliwych na promieniowanie, np. przy wykonywaniu zdjęć kontrolnych czy prześwietleń u dzieci.
Dawka promieniowania mniejsza o 80%* przy skanie 3D (5xØ5 cm, LDT) w porównaniu z panoramicznym zdjęciem 2D

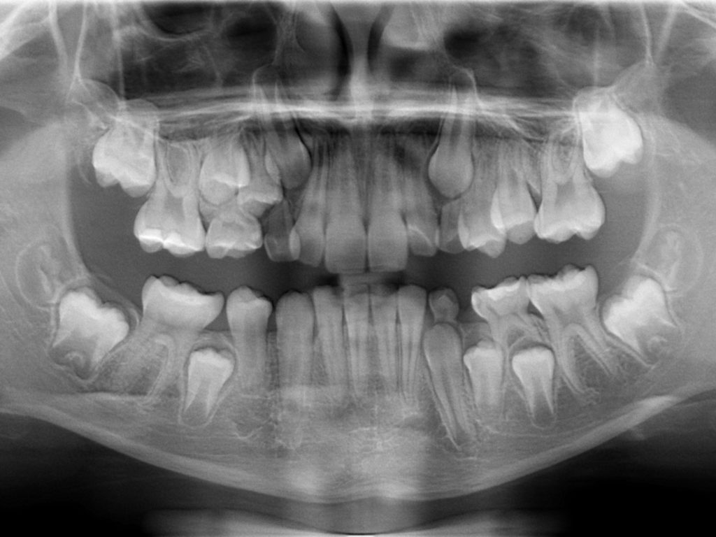
Stomatologia jak żaden inny dział medycyny na co dzień i powszechnie wykorzystuje badania radiologiczne w procesie diagnostyki i leczenia. W ciągu ostatnich lat w dziedzinie radiologii stomatologicznej doszło do radykalnych zmian i unowocześnień. Konwencjonalną radiologię analogową zastąpiły dużo sprawniejsze i doskonalsze a także przyjazne dla pacjenta ( mniejsza dawka promieniowania) systemy radiografii cyfrowej. Obecnie powszechnie wykonujemy cyfrowe zdjęcia rtg pojedynczych zębów a także cyfrowe zdjęcia panoramiczne i telerentgenogramy. Są one dostępne do obejrzenia i obróbki graficznej w ciągu kilku sekund po wykonaniu badania, a obraz takiego badania można przesłać np. mailem. Najnowszym osiągnięciem radiologii stomatologicznej jest badanie z zastosowaniem tomografii wolumetrycznej CBCT. Badanie to pozwala na doskonałej jakości przestrzenne (3D) obrazowanie struktur twarzoczaszki co pozwala na bardzo precyzyjne postawienie diagnozy, zaplanowanie leczenia i kontrolę jego efektów.
Pracownia RTG czynnie współpracuje z lekarzami specjalizacji: chirurgii stomatologicznej , chirurgii szczękowo-twarzowej, periodontologii, stomatologii dziecięcej, protetyki, ortodoncji, endodoncji, laryngologii.
który w 1985 roku zaprosił do laboratorium swoją żonę Bertę i wykonał pierwsze zdjęcie rentgenowskie. Widać było na nim szkielet kobiecej dłoni oraz złoty pierścionek, gdyż promienie rentgena nie przechodzą przez złoto. Żona naukowca przeraziła się i o mało nie zemdlała.
Za okrycie promieni Roentgena Wilhelm Conrad Roentgen w 1901 roku został uhonorowany pierwszą Nagrodą Nobla w dziedzinie fizyki – „za nadzwyczajne zasługi oddane poprzez odkrycie promieni noszących jego imię”.
| Rodzaj zdjęcia | Cena (PLN) |
|---|---|
| Zdjęcie punktowe | 60 |
| Zdjęcie skrzydłowo-zgryzowe | 70 |
| Zdjęcie zgryzowe | 100 |
| Zdjęcie panoramiczne | 100 |
| Zdjęcie cefalometryczne | 100 |
| Zdjęcie stawów skroniowo-żuchwowych | 200 |
| Tomografia 5x5 (micro-CT) | 170 |
| Tomografia szczęki lub żuchwy (1 łuk) | 250 |
| Tomografia szczęki i żuchwy | 300 |
| Tomografia DualScan - z protezą ze znacznikami | 370 |
| Tomografia zatok | 400 |
| Status zębowy | 250 |
Dodatkowe usługi | ![]() |
| Analiza cefalometryczna (wykonana przez specjalistę ortodoncji) | 100 |
| Opis zdjęcia 2D (wykonany przez specjalistę chirurgii stomatologicznej / ortodoncji / stom. zachowawczej z endodoncją lub protetyki stomatologicznej) | 300 |
| Opis zdjęcia 3D (wykonany przez specjalistę chirurgii stomatologicznej / ortodoncji / stom. zachowawczej z endodoncją lub protetyki stomatologicznej) | 500 |
| Nagranie drugiej kopii badania na płytę CD | 40 |
U Nas możesz zarejestrować się bezkontaktowo na dogodny termin, korzystając z poniższego modułu rezerwacji wizyty on-line. Zarejestrowanie terminu musi zostać potwierdzone mailowo lub telefonicznie. Termin wykonania zdjęcia może ulec zmianie, o czym poinformujemy Cie telefonicznie.